您好,欢迎光临中科瑞泰!

免费咨询电话:
400-699-0631

首页 > 蛋白生物学 > 蛋白提取纯化 > 动物蛋白提取

BN电泳样品制备试剂盒(动物组织样品)50次

BN电泳样品制备试剂盒(动物组织样品)50次

产品编号:RTD8304

产品规格:组织

相关规格:
数量
价格 ¥800

    BN电泳样品制备试剂盒(动物组织样品)  Ver260180-1.0

产品编号

产品名称

规格

RTD8304

BN电泳样品制备试剂盒(动物组织样品)

50

产品包装:

货号

组份

规格

贮存

RTD8304-01

裂解缓冲液

50 ml

-20

RTD8304-02

重悬缓冲液

20 ml

-20

RTT2106-02

Benzonase250 U/μl

0.25 ml

-20

DM1080S

10%DDM

5 ml

-20

PL131-01

膜蛋白A型上样缓冲液

1 ml

-20

PL124-01

2×BN/CN-PAGE蛋白上样缓冲液

1 ml

-20

BC270-1ml

2% G-250染料

1 ml

4

说明书

一份

产品简介:

Blue Native PAGE(BN -PAGE)是一种从生物样品(质膜,胞浆等)中分离分子量10 kD-10 M kD 范围的蛋白质复合物的电泳技术,其原理是用温和去污剂(如 DDM,digitonin)将蛋白复合体从生物膜中以近似天然的状态分离出来,使用考马斯亮蓝 G-250 代替 SDS与蛋白结合而使其带负电荷,根据蛋白分子量不同在 PAGE胶中得到分离,由于考马斯亮蓝G-250存在,使蛋白都覆盖上负电荷,可以分离碱性蛋白(pI>7)和酸性蛋白(pI<7)。

    该产品含有BN电泳样品制备及电泳上样所需的试剂,可以在约90分钟内完成动物组织样品中胞浆蛋白和膜蛋白的提取。提取原理:动物组织在裂解缓冲液中匀浆处理得到细胞悬液,离心分离得到上清和沉淀;上清为胞浆蛋白,沉淀为细胞核,线粒体,内质网,未裂解的细胞碎片等;随后用温和去垢剂增溶沉淀,离心后提取增溶后的蛋白(主要包含质膜蛋白,细胞器膜蛋白,核膜蛋白);提取的蛋白适用于蛋白多聚体分析,酶活测定以及WB检测等。

该产品不建议用于细胞BN样品的制备,细胞BN样品的制备可选择货号:RTD8305。

以每次处理100 mg动物组织样品计算,该试剂盒可以使用50次。

保存、效期及运输:

-20℃保存,有效期一年,湿冰运输。

使用说明:

自备材料:

1×PBS;1 ml玻璃匀浆器;台盼蓝染色液;蛋白酶抑制剂;磷酸酶抑制剂;剪刀或刀片; BCA蛋白定量试剂盒;冰浴;低温离心机。

. 用前必读:

1. 离心机请调整成RCF/g模式,按照离心力设置离心机(不要根据转速rpm模式设置),所有离心步骤都需要在4℃低温离心机中进行。

2. 蛋白提取推荐添加蛋白酶抑制剂如100 mM PMSF(100×)(自备,试剂盒不提供),添加时按照1:100添加。研究蛋白磷酸化,需要添加磷酸酶抑制剂(自备,试剂盒不提供)。

3. 蛋白定量推荐使用BCA方法,可以选择BCA蛋白浓度测定试剂盒(货号:RTP7102)。

流程图:

. 提取步骤:

2.1 组织漂洗:

取约100 mg新鲜动物组织,用1×PBS清洗两次,弃净清洗液。

2.2 组织匀浆(关键步骤):

用剪刀或刀片尽量小心剪切成细小的组织碎片,置于1.5 ml离心管中,先加入0.5 ml裂解液,随后转移到1 ml玻璃匀浆器内冰浴充分匀浆~5次;随后再补加入0.5 ml 裂解液冰浴继续匀浆~5次,100 mg组织总共需要使用1 ml裂解缓冲液

注:此匀浆步骤为关键环节。玻璃匀浆器(紧致型)上下推拉一次为一次完整匀浆,匀浆本着宁少勿多,不够再补的原则,不要过度匀浆。匀浆破碎效果与组织类型有关,不同的样品所需匀浆次数不同,软组织如肺,脾脏,肾脏,脑等需要10次左右,硬组织如心脏,骨骼肌等需要15次左右。鉴定方法:取10 μl匀浆后的样品,加入等体积的台盼蓝溶液,混匀,在显微镜下观察台盼蓝溶液染色阳性(蓝色)细胞数目的比例,当阳性(蓝色)细胞破碎达到80%即可停止匀浆,请勿过度匀浆。若阳性(蓝色)细胞比例未达到80%,适当增加1-2次匀浆,随后按照同样的方法使用台盼蓝溶液进行鉴定。

2.3 胞浆蛋白提取:

2.3.1把匀浆液转移到1.5 ml离心管内,冰浴放置15分钟(间歇混匀)或者4℃旋转混匀15 分钟;

2.3.2 16000 g 4℃离心10分钟,取80%上清保存备用;

注:上清主要包含胞浆蛋白。吸取上清时不要触及沉淀,可以只取80%体积上清,避免和沉淀交叉污染。100 mg组织得到的胞浆蛋白浓度约2-5 μg/μl,不同组织略有不同。

2.4 沉淀样品制备:

2.4.1 彻底去除步骤2.3.2中的上清,100 mg组织得到的沉淀中加入0.5 ml重悬缓冲液,吸头重悬沉淀。注:重悬沉淀时,溶液可能会变粘稠,会有堵吸头现象,经过2.4.2步骤处理后再次重悬。

2.4.2 蛋白溶液中加入5 μl (1/100溶液体积)Benzonase,常温20 min,间歇混匀;

注:加入核酸酶处理能有效降低溶液粘度,提高蛋白得率;此步骤需要常温进行,如低温孵育,需延长时间到40 min。

2.4.3 关键步骤-定量沉淀样品浓度:

BCA方法测定蛋白溶液的蛋白浓度(货号:RTP7102);

注:必须测定蛋白浓度后再进行如下操作,不能根据经验估算蛋白浓度。

100 mg组织得到沉淀重悬于0.5 ml缓冲液中,蛋白浓度约5-10 μg/μl,不同组织略有不同;

2.4.4 用重悬缓冲液调整蛋白浓度为1 μg/μl。

注:溶液可以按需分装,建议每管50-100 μl,-80℃保存待用;

2.4.5关键步骤-沉淀样品增溶:

取合适体积的蛋白溶液(浓度1 μg/μl),加入1/10体积 10% DDM,轻柔混匀,冰浴30分钟(间歇混匀)或者4℃旋转混匀30 min。如取50 μl蛋白溶液(浓度1 μg/μl),加5 μl 10%DDM。

注:此步骤是把沉淀(包含细胞核,线粒体,内质网以及细胞碎片)中的蛋白(包括膜蛋白)用去垢剂溶解出来,由于去垢剂溶解能力需要和蛋白含量严格对应,故加入溶液体积要精准,不能随意变更。

2.4.6 16000 g 4℃离心15分钟,取上清至一干净1.5 ml离心管中即为增溶后蛋白溶液(小心不要吸取沉淀),此时得到的蛋白浓度为1 μg/μl,其中去垢剂DDM终浓度为1%。

. BN电泳上样液制备:

3.1 胞浆蛋白:

由于胞浆蛋白不含有去垢剂,按照蛋白含量的1/5(质量比)添加考马斯亮蓝G-250染料后进行电泳。举例说明:配制100 μl 浓度1 μg/μl的胞浆BN上样液,内含蛋白100 μg,需要添加20 μg G-250,即添加1 μl 2% G-250。

100 μl1μg/μl)胞浆蛋白上样液

胞浆样品

100 μg

2×BN/CN-PAGE蛋白上样缓冲液

50 μl

2% G-250

1 μl

补至 100 μl

不要加热,上样5-20 μl5-20 μg

3.2 沉淀样品:

步骤2.4.6蛋白溶液中加入等体积2×膜蛋白A型上样缓冲液(货号:PL131-01),此时蛋白浓度为0.5 μg/μl,不要加热,上样5-20 μg。

. BN电泳凝胶选择:

BN电泳可以选用Blue/Clear 非变性凝胶电泳试剂盒(预制胶,通用型)(货号:RTD6139)或Blue/Clear 非变性凝胶电泳试剂盒(手灌胶)(货号:RTD6140);转膜缓冲液选择10×BN转膜缓冲液(货号:BC600P);蛋白Marker可以使用宽分子量非变性电泳蛋白质Marker II(21-880 kD)(货号:RTD6136)。

. 实验示例:


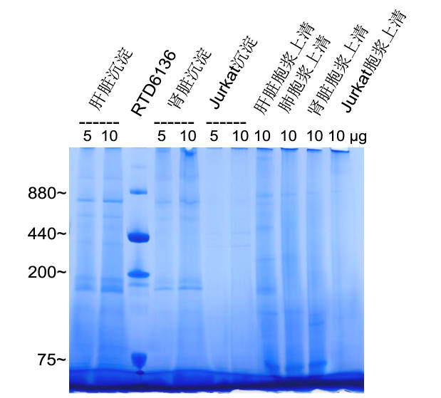
小鼠组织和Jurkat细胞 BN样品制备电泳图
凝胶:3-12% RealPAGE Native BN/CN 预制胶(RTD6138-0312);
样品提取:50 mg 冻存小鼠组织,加0.5 ml裂解缓冲液,匀浆10次;四度旋转10min;
16000g 15 min,上清为胞浆蛋白,BCA定量浓度为8 μg/μl;
沉淀中加0.2 ml重悬缓冲液;加入2 μl Benzonase(250U/μl),RT 20 min;
BCA 定量,浓度15 μg/μl,用重悬缓冲液稀释为1 μg/μl;
沉淀样品增溶:取100 μl 重悬蛋白(1μg/μl)+10 μl 10%DDM,四度旋转30min;
16000g 15min,取上清即为增溶后的沉淀样品。
上清样品上样处理:上样液体积100μl(浓度1μg/μl),包含100μg 蛋白(12.5 μl),50 μl 
2×BN/CN上样缓冲液,1μl 2%G-250;上样10μl/10μg; 
沉淀样品上样处理:上样液体积100μl(浓度0.5 μg/μl),取50 μl增溶后的上清加
50 μl PL124,上样10 μl/5μg和20 μl/μg 



 
只有购买过该商品的用户才能进行评价。[发表评价]