单链DNA Marker(20-75 nt)预混型
|
货号
|
名称
|
规格
|
|
RTM501
|
单链DNA Marker(20-75 nt)预混型
|
25次
|
● 产品编号及规格:
|
货号
|
名称
|
规格
|
贮存
|
|
RTM501-01
|
单链DNA Marker(20-75 nt)预混型
|
25次(125 μl)
|
-20℃
|
|
DL080-01
|
2×TBE尿素上样缓冲液
|
1 ml
|
4℃或-20℃
|
● 产品简介:
单链DNA Marker由不同长度的单链DNA分子混合而成,7条带的大小为20,25,30,35,40,
50,75
nt。35
nt 浓度约为100
ng/μl,其余条带浓度约为50
ng/μl。该产品已经含有上样缓冲液,使用前70度处理5分钟后可以直接上样。该Marker适用于跑尿素变性胶,电泳后使用单链DNA
PAGE电泳染色试剂盒(Cat:RTS5103),核酸PAGE电泳染色试剂盒(Cat:RTS5102),核酸快速高灵敏度染色试剂盒(Cat:RTS5101)或核酸染料如RealSafe
Red(货号:GR002)或RealSafe
All(货号:GR004)均可以得到清晰的条带分离效果。
产品内附带2×TBE尿素上样缓冲液(Cat:DL080-01),方便待检样品的上样。以每次上样5 μl计算,该产品可以使用大约25次。
● 保存条件和运输:
-20℃贮存;有效期2年;湿冰运输。
● 使用方法:
注:以下使用方法均以8×10cm凝胶 厚1.0mm示例,其他规格凝胶请适当调整。
一. 凝胶制备:
1.1 可以选择DNA尿素PAGE电泳试剂盒(Cat:RTE4102))或按照以下程序制胶:
表一 TBE-尿素PAGE分离胶配方表 (总体积5 ml,适用于厚度1.0 mm小板胶)
|
单链DNA长度
|
最佳凝胶浓度
|
尿素(克)
|
40%PAA
(29:1)
|
10×TBE
|
补水到总体积
|
10%APS
|
TEMED
|
|
200-1000 nt
|
5%
|
2.1克
|
0.625 ml
|
0.5 ml
|
5 ml
|
50 μl
|
5 μl
|
|
50-400 nt
|
8%
|
2.1克
|
1 ml
|
0.5
ml
|
5 ml
|
50 μl
|
5 μl
|
|
30-300 nt
|
10%
|
2.1克
|
1.25 ml
|
0.5
ml
|
5 ml
|
50 μl
|
5 μl
|
|
10-150 nt
|
15%
|
2.1克
|
1.875 ml
|
0.5
ml
|
5 ml
|
50 μl
|
5 μl
|
|
5-120 nt
|
20%
|
2.1克
|
2.5 ml
|
0.5
ml
|
5 ml
|
50 μl
|
5 μl
|
1.2在凝胶模具中灌入适量分离胶溶液(对于mini-gel,凝胶液加至约距前玻璃板顶端1.5 cm或距梳齿约0.5 cm即可),然后在分离胶溶液上轻轻覆盖一层1-5 cm的水层,使凝胶表面保持平整。
1.3静置10-20分钟,待分离胶和水层之间出现一个清晰的界面后,说明凝胶已聚合。
注:凝胶的聚合时间与环境温度有关。夏天温度较高时,聚合较快;冬天气温低时,聚合时间会延长。可以根据环境温度的不同调节APS的加入量。
1.4去除覆盖在分离胶上的水层;按照表二将不同体积成分在一个小烧杯中混合;最后加入10%过硫酸铵和TEMED,轻轻搅拌使其混匀,避免产生气泡。
表二 TBE-尿素PAGE 4%浓缩配方表 (总体积2 ml,适用于1.0mm厚度胶)
|
|
各组份体积(ml)
|
|
凝胶浓度
|
尿素
|
40%PAA(29:1)
|
10×TBE
|
灭菌水
|
10%APS
|
TEMED
|
|
4%
|
0.84克
|
0.2 ml
|
0.2 ml
|
补水至体积2 ml
|
20 μl
|
2 μl
|
1.5将浓缩胶溶液加至分离胶的上面,直至凝胶溶液到达前玻璃板的顶端;将梳子插入凝胶内,避免产生气泡。
1.6静置30-60分钟,等待浓缩胶聚合。
注:凝胶的聚合时间与环境温度有关。夏天温度较高时,聚合较快;冬天气温低时,聚合时间会延长。可以根据环境温度的不同调节APS的加入量。
二. 样品制备:
2.1
取适量体积单链DNA
Marker样品(不用添加上样缓冲液);待测样品与等体积的2×TBE尿素上样缓冲液(Cat:DL080-01)混合,70℃处理5分钟,冰浴制冷后待上样。
三.电泳:
3.1. 预电泳(可选):电泳槽内外加入适量1×TBE缓冲液稳压200V预电泳30分钟。电泳结束后,用1×TBE缓冲液彻底冲洗加样孔2-3次,去除残余的尿素。
3.2.上样:根据梳齿确定Marker上样量, 一般是10齿1mm厚梳子上样5
μl,15齿1mm厚梳子上样3
μl。
3.3. 连接电源线,打开电源开关,按照以下条件电泳。
|
|
恒电压
|
起始电流
|
结束电流
|
电泳时间
|
适用条件
|
|
推荐电压
|
200 V
|
15-20 mA/板胶
|
10-15 mA/板胶
|
60+ min
|
最佳电压,最优的分辨率
|
3.4. 等待上样缓冲液的溴酚蓝指示前沿到凝胶底部时终止电泳,取出凝胶进行后续实验。
|
变性胶浓度
|
溴酚蓝
|
二甲苯菁
|
|
5%
|
35 nt
|
130 nt
|
|
8%
|
19 nt
|
75 nt
|
|
10%
|
15 nt
|
55 nt
|
|
15%
|
10 nt
|
52 nt
|
|
20%
|
8 nt
|
35 nt
|
四.染色:
用单链DNA PAGE电泳染色试剂盒(Cat:RTS5103),核酸PAGE电泳染色试剂盒(Cat:RTS5102)或核酸快速高灵敏度染色试剂盒(Cat:RTS5101)染色均可以得到清晰的条带分离效果。注:如果使用核酸染料染色,RealSafe Red(货号:GR002)或RealSafe All(货号:GR004)核酸染料结合单链核酸效果最佳,强烈建议使用以便获得最佳效果的胶图。其余染料如GelRed,Goldview,EB等染色效果不好。
● 注意事项:
1. 单链DNA Marker产品适用于变性PAGE垂直电泳,不适用于水平琼脂糖凝胶电泳。
● 电泳示例:
1. 使用单链DNA PAGE电泳染色试剂盒(货号:RTS5103)染色:
2. 使用核酸PAGE电泳染色试剂盒(货号:RTS5102)染色:
3. 使用RealSafe Red核酸染料(货号:GR002)染色:
4. 使用核酸快速高灵敏度染色试剂盒(货号:RTS5101)染色:

使用RTM501/RTM507 单链DNA
Marker(20-75 nt)发表部分文章列表:
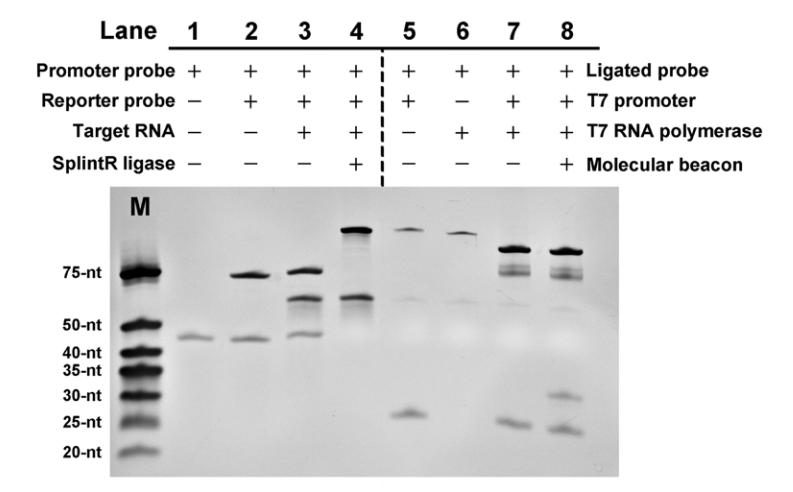
1. [2021 IF=3.532] Real-time detection of
SARS-CoV-2 in clinical samples via ultrafast ligation-dependent RNA transcription
amplification
Marker :RTM501,单链DNA Marker(20-75
nt)
Author: Peng
Zhang, Yang Li, Dongmei Zhang, Xinghao Zhu, Jinling Guo, Cuiping Ma and Chao
Shi
Journal: Analytical Methods 2023,
15,1915
Institution: Qingdao University
Paper
link:https://pubs.rsc.org/en/content/articlelanding/2023/AY/D3AY00093A
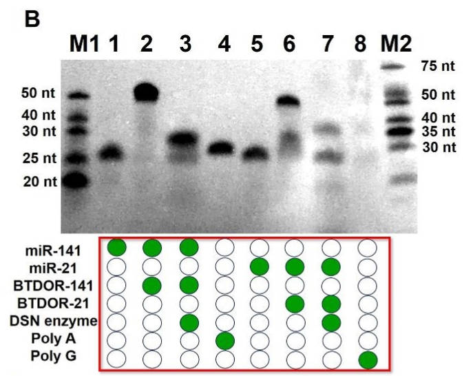
2. [2025 IF=3.3] Duplex-specific
nuclease-assisted isothermal signal amplification coupled with HPLC-UV for
simultaneous detection of multiple microRNAs.
Marker :RTM501,单链DNA Marker(20-75
nt)
Author: Haoran
Qiu, Jialin Li, Yu Han, Hao Wu,Xin
Sun
Journal: Analyst 2026,Accepted 05 Apr 2026
Institution:School of Pharmaceutical
Sciences, Jilin Medical University
Paper
link:https://doi.org/10.1039/D6AN00272B