宽分子量非变性电泳蛋白质Marker
II(21-880 kD)
Broad MW Native
Electrophoresis Protein Marker II(21-880 kD)
|
名称
|
货号
|
规格
|
|
宽分子量非变性电泳蛋白质Marker II(21-880
kD)
|
RTD6136
|
20次(100
μl)
|
●储存、运输及效期:
-20℃保存,湿冰运输,有效期为12个月。
● 产品简介:
本产品有5种蛋白组成,分子量范围为21-880
kD,经过非变性电泳后,用考马斯亮蓝染色后可以得到6条主带。
|
蛋白名称
|
分子量(kD)
|
蛋白来源
|
pI
|
说明
|
|
Ferritin
|
440
880
|
equine
spleen
|
N/A
|
非变性下440kD和880
kD
|
|
RC2
|
200
|
重组蛋白
|
6.7
|
单体蛋白分子量为75
kD,在Tris-甘氨酸非变性下表现为分子量~200
kD
|
|
RC1
|
75
|
重组蛋白
|
5.9
|
单体蛋白分子量为75 kD,在Tris-甘氨酸非变性下表现为分子量~75 kD,同时会形成少量二聚体(dimer)
|
|
Ovalbumin
|
45
|
egg
white
|
5.2
|
球蛋白,分子量为45kD,非变性条件下大于45 kD会出现电荷异构体(charge
isomer)
|
|
Trypsin
Inhibitor
|
21
|
Soybean
|
4.5
|
非变性下21 kD
|
● 使用说明:
1. 取出产品后,常温融化后,彻底混匀,上样电泳。
注:上样量根据胶的厚度和梳子的宽度确定。一般说来,1.0厚度10齿梳子加样孔上样5 μl,1.0厚度15齿梳子加样孔上样量2.5 μl,其他规格梳子请适当调整上样量。
2. 该产品不含蛋白凝胶制备试剂,您可以选择非变性PAGE凝胶制备及电泳试剂盒(货号:
RTD6130或RTD6135)。如自备试剂,经典Laemmli系统中把制胶溶液、电泳缓冲液和上样缓冲液中的SDS和还原剂(DTT或β-巯基乙醇)全部去除即可进行非变性电泳。
3. 电泳条件:
建议使用10%非变性胶或者4-15%梯度非变性胶(货号:RTD6117-0415)进行电泳。
|
恒电压
|
120 V
|
|
起始电流
|
27-35 mA/板胶
|
|
结束电流
|
7-10 mA/板胶
|
|
电泳时间
|
1h20min+
|
4. 电泳结束后,考马斯亮蓝染色,观察结果。
注:使用银染染色时,由于灵敏度高于考马斯亮蓝染色方法,需要适当降低Marker上样量,一般稀释50倍后上样。
注意:
1. 本蛋白Marker不适用于变性蛋白电泳(SDS-PAGE),因为在SDS存在下,含有多个亚单位的蛋白会不同程度解聚。
2. 在非变性条件下,蛋白的迁移与蛋白的电荷、蛋白形状以及蛋白分子量都有关,因此不能精确判断待测蛋白的分子量,只能粗略判断蛋白的大小。
● 实验示例:
1. 4-15%Tris-甘氨酸非变性胶
2. 8%Tris-甘氨酸非变性胶
|
3. 3-12% BlueNative
4. 4-16% BlueNative

|
|
|
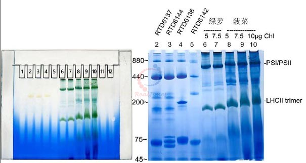
使用RTD6136非变性电泳蛋白质Marker(21-880 kD)产品发表部分文章列表:
1.
[2025 IF=3.9] Crystal structure of Echinococcus multilocularis
cystatin B reveals a novel a novel feature in classical stefins.
Author: Wenbin Hong, Zhe Cheng, Zhijian Xu, Shukun
Zhong, Xianshu Liu, Nouhoum Dibo, ZiyiDai, Yuzhou Lin, Wenchang Lai, HuaRui
Jia, Xiaomin Shang & Shuaiqin Huang
Marker: RTD6136非变性电泳蛋白质Marker(21-880
kD)
Journal: Scientific
Reports 2026
Institution: Department of Medical Parasitology, Central South
University
Paper link:https://doi.org/10.1038/s41598-026-35060-0