Anti-His抗体(鼠单抗)
Anti-His Antibody(Monoclonal Antibody from Mouse)
|
产品编号
|
产品名称
|
规格
|
|
RGH2030
|
Anti-His抗体(鼠单抗)
|
20 μl
|
● 产品简介
为了提高重组蛋白表达量、可溶性并方便其纯化, 各种蛋白标签通常被添加在重组蛋白的N 端、C 端或内部。组氨酸标签(6×His Tag )是最常用的蛋白标签之一, 它通常由连续 6 个组氨酸组成。因其与二价金属离子,尤其是镍离子亲和力较高,故多采用镍琼脂糖介质纯化。6×His 单克隆抗体可用于 6×His标签蛋白检测以判断其表达及纯化情况。
|
来源
|
用途及稀释比例
|
抗体类型
|
|
Mouse
|
WB 1:2000-5000
IHC 1:200-1000
IF 1:200-1000
|
单克隆抗体
|
注:WB, Western
blot; IP, Immunoprecipitation; IF, Immunofluorescence
本抗体如果用于常规的Western检测,至少可以检测20次。
● 贮存形式:
稳定溶液,~1 mg/ml抗体溶于PBS,50%甘油,pH7.2。
● 保存、效期及运输条件:
-20℃保存,一年有效;避免反复冻融;湿冰运输。
● 使用说明:
1. Western Blot杂交(ECL显色):1:2000-10000稀释,常温孵育1-2 h或4℃过夜。
2. 免疫荧光(IF)和免疫组化(IHC):1:200-1000稀释。
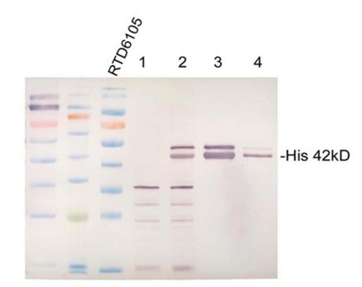
● 实验示例:

凝胶:12%T3.3C Tris-Glycine gel 恒压150V 37-12 mA 56min
转膜:1×半干转buffer(含SDS)+20%甲醇 恒流400 mA
25 min
封闭:BSA封闭(货号:WB1070)
一抗:Anti-His抗体(鼠单抗),1:5000(货号:RGH2030);
二抗:AP标记羊抗兔IgG, 1:5000(货号:AGR1030)
显色:BCIP/NBT显色(货号:BN1026)