您好,欢迎光临中科瑞泰!

免费咨询电话:
400-699-0631

首页 > 蛋白生物学 > 蛋白Marker > 变性蛋白Marker

36 kD单条蛋白Marker

36 kD单条蛋白Marker

产品编号:RG1060M

产品规格:10mg

数量
价格 ¥600


36 kD单条蛋白Marker

 

货号

名称

规格

RG1060M

36 kD单条蛋白Marker

10 mg

产品编号及规格:

货号

名称

规格

RG1060M-01

36 kD单条蛋白Marker

10 mg

PL080-01

5×MonoColor蛋白上样缓冲液(变性,还原)

1 ml

贮存、运输即效期:

   -20℃贮存;湿冰运输;干粉状态-20℃有效期一年(配成溶液后-20℃有效期3个月,-80℃有效期6个月)。

产品简介:

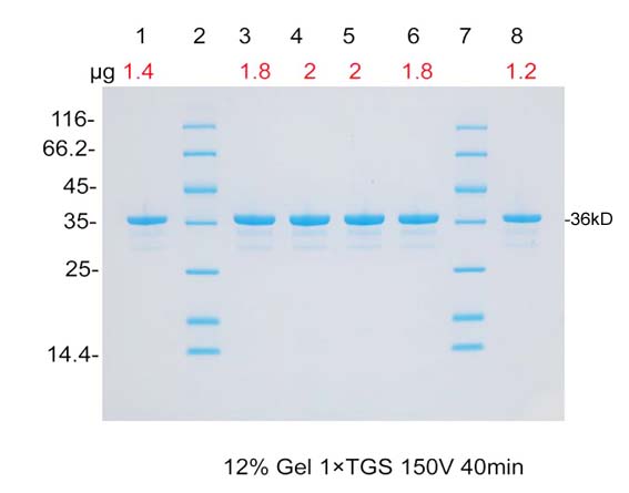
   本产品包含一种已知分子量的标准蛋白质,分子量大小为36 kD,可以用来判断 SDS-PAGE未知蛋白的分子量。36 kD单条蛋白Marker 以干粉状态提供。配制好的Marker适用于变性还原电泳,不适用于非变性电泳(Native Electrophorosis)。

以每次上样2 μg计算,该产品可以大约使用5000次。

使用说明:

1. 配制10 mg/ml 36 kD蛋白Marker母液:

取10mg 粉末溶于1ml超纯水中。此溶液-20贮存,有效期3个月。该溶液可以适当分装,-80℃贮存,有效期可以延长到6个月。

2. 按照下表配制Marker溶液

Marker配制量

浓度

36 kD母液

(10 mg/ml)

超纯水

5×MonoColor蛋白上样缓冲液

10 μl

0.2 μg/μl

0.2 μl

7.8 μl

2 μl

50 μl

0.2 μg/μl

1 μl

39 μl

10 μl

100 μl

0.2 μg/μl

2 μl

78 μl

20 μl

注:配制好的Marker溶液使用后-20℃贮存,有效期3个月。

2.1  取配制好的溶液彻底混匀后,95处理5分钟立即上样电泳,每次上样10 μl(2μg)。

2.2  电泳结束后,染色,观察结果。


3 实验示例:



使用蛋白Marker产品发表部分文章列表:

1. [2021 IF=5.5] Garviecin LG34, a novel bacteriocin produced by Lactococcus garvieaeisolated from traditional Chinese fermented cucumber.

Author: Yurong Gao, Dapeng Li, Shan Liu, Liyuan Zhang

Marker: RTD6110,彩虹超低分子量蛋白Marker(1.2-45 kD)

Journal: Food Control 50 (2015) 896e900

Institution:Key Laboratory of Veterinary Medicine of Heilongjiang Bayi Agricultural University

Paper linkhttp://dx.doi.org/10.1016/j.foodcont.2014.10.040

 

2. [2021 IF=5.5] Purification and partial characterization of M1-UVs300, a novel bacteriocin produced by   isolated from fermented sausage Lactobacillus plantarum.

Author: Yu An, Ying Wang, Xiaoyue Liang, Huaxi Yi, Zhaohang Zuo, Xiaoxi Xu, Dongjie

Zhang, Changqing Yu, Xue Han

Marker: RTD6110,彩虹超低分子量蛋白Marker(1.2-45 kD)

Journal: Food Control  Volume 81, November 2017, Pages 211-217

Institution:Key Laboratory of Veterinary Medicine of Heilongjiang Bayi Agricultural University

Paper linkhttps://doi.org/10.1016/j.foodcont.2017.05.030

 

3. [2021 IF=5.75] The Verticillium dahliae SnodProt1-Like Protein VdCP1 Contributes to Virulence and Triggers the Plant Immune System.

Author: Yi Zhang, Yuhan Gao, Yingbo Liang, Yijie Dong, Xiufen Yang, Jingjing Yuan and Dewen Qiu

Marker: RTD6110,彩虹超低分子量蛋白Marker(1.2-45 kD)

Journal: Frontiers in Plant Science.  Volume 81, November 2017, Pages 211-217

InstitutionInstitute of Plant Protection, Chinese Academy of Agricultural Sciences

Paper linkhttps://doi.org/10.1093/jxb/ery351

 

4. [2021 IF=2.99] Purifcation, characterization, and action mechanism of plantaricin DL3, a novel bacteriocin against Pseudomonas aeruginosa produced by Lactobacillus plantarum DL3 from Chinese Suan Tsai.

Author: Xinran Lv,  Yang Lin ,Yu Jie, Mengtong Sun, Bolin Zhang,Fengling Bai,Hongfei Zhao,Jianrong Li

Marker: RTD6127,超低分子量蛋白Marker IV(3.3-45 kD)

Journal: European Food Research and Technology. Vol 244, pages 323–331 (2018)

InstitutionCollege of Biological Science and Biotechnology, Beijing Forestry University

Paper linkhttps://link.springer.com/article/10.1007/s00217-017-2958-3

 

5. [2021 IF=6.99] Verticillium dahliae Alt a 1-like protein PevD1 targets cotton PR5-like protein and contributes to fungal infection.

Author: Yi Zhang, Yuhan Gao, Yingbo Liang, Yijie Dong, Xiufen Yang, Dewen Qiu

Marker: RTD6110,彩虹超低分子量蛋白Marker (1.2-45 kD)

Journal: Journal of Experimental Botany, Vol 70, Issue 2, 15 January 2019,613-626

InstitutionInstitute of Plant Protection, Chinese Academy of Agricultural Sciences

Paper linkhttps://doi.org/10.1093/jxb/ery351

 

6. [2021 IF=11.277] An  Alternative  Splicing  Variant  of  PtRD26  Delays  Leaf  Senescence by Regulating Multiple NAC Transcription Factors in Populus.

Author: Hou-Ling Wang,Yi Zhang,Ting Wang, Qi Yang,Yanli Yang,Ze Li, Bosheng Li, Xing Wen, Wenyang Li, Weilun Yin, Xinli Xia, Hongwei Guo, and Zhonghai Li

Marker: RTD6110,彩虹预染超低分子量蛋白(1.2-45 kD)

Journal: Plant Cell. Volume 33, Issue 5, May 2021, Pages 1594–1614

InstitutionBeijing Advanced Innovation Center for Tree Breeding by Molecular Design, Beijing Forestry University

Paper linkhttps://doi.org/10.1093/plcell/koab046

 

7. [2021 IF=2.89] Rapid and sensitive detection ofStaphylococcus aureus and Klebsiella pneumonia based on bacitracin-modified Fe3O4@PDA magnetic beads combined with matrix-assisted laser desorption ionization-time of flight mass spectrometry.

Author: Feng Qin, Shujuan Wang, Mingxia Gao  and  Xiangmin Zhang

Marker: RTD6110,彩虹预染超低分子量蛋白(1.2-45 kD)

Journal: Analytical Methods. 2021,13, 2804-2811

InstitutionDepartment of Chemistry, Fudan University

Paper linkhttps://pubs.rsc.org/en/content/articlelanding/2021/ay/d1ay00614b

 

8. [2021 IF=3.74] Cloning, expression, and function of ferritins in the tick Haemaphysalis flava.

Author: Yu Zhao, Lei Liu, Jin-Bao Liu, Cong-Ying Wu, De-Yong Duan, Tian-Yin Cheng

Marker: RTD6142 高分子量非变性电泳蛋白质Marker II(45-669 kD)

Journal: Ticks and Tick-borne Diseases. Volume 13, Issue 2, March 2022, 101892

InstitutionCollege of Veterinary Medicine, Hunan Agricultural University,

Paper linkhttps://linkinghub.elsevier.com/retrieve/pii/S1877959X21002454

 

9. [2021 IF=0.886] Purification and Characterization of an Intracellular β-Glucosidase from the Protoplast Fusant of Aspergillus oryzae and Aspergillus niger

Author: F.M. Zhu, B. Du, H.S. Gao, C.J. Liu, and J. Lia

Marker: RTD6109 高分子量蛋白质Marker(43-200 kD)

Journal: Applied Biochemistry and Microbiology, 2010, Vol. 46, No. 6, pp. 626–632

InstitutionCollege of Food Science and Technology, Hebei Normal University of Science and Technology

Paper linkhttps://link.springer.com/article/10.1134/S0003683810060116

 

10. [2021 IF=4.374] Effect of Fuzhuan brick-tea addition on the quality and antioxidant activity of skimmed set-type yoghurt.

Author: Dong Liu

Marker: RTD6103 低分子量蛋白质Marker II(14.4-116 kD)

Journal: International Journal of Dairy Technology, Vol 71 March 2018 Pages 22-33

InstitutionDepartment of Food Processing Technology, Anqing Vocational & Technical College

Paper linkhttps://doi.org/10.1111/1471-0307.12395

 

11. [2021 IF=3.7] Smart delivery of poly-peptide composite for effective cancer therapy

Author: Xin Yuan, Yingzhou Qin, Qingmei Tian, Cuijuan Liu, Xiangzhou Meng, Bo Qie, Fan Gao, Ying Huang, Guanghui Xu, Guang Yang, Yimin Zhu

Marker: Protein Marker

Journal: Biomedical Materials, 2022 Jan 24;17(2)

Institution:School of Nano-Tech and Nano-Bionics, University of Science and Technology of China

Paper linkhttps://pubmed.ncbi.nlm.nih.gov/34996052/

 


 
只有购买过该商品的用户才能进行评价。[发表评价]