6×DNA上样缓冲液(三染料)
6×TriColor DNA loading buffer
|
货号
|
名称
|
规格
|
|
DL030-02
|
6×DNA上样缓冲液(三染料)
|
5×1 ml
|
|
DL030
|
10×1 ml
|
● 贮存、运输及效期:
常温贮存;常温运输;有效期两年。
● 制品说明
本制品是琼脂糖凝胶电泳用的上样缓冲液。其组份如下:20mM
EDTA pH8.0;36%甘油;0.035% 二甲苯菁,0.05%溴酚蓝;0.05%
RealRed;0.05%橙黄G。该产品特点是含有三种不同颜色的示踪染料,可以指示不同条带大小位置。
● 使用说明
向PCR产物或酶促反应液中加入1/5量的本制品,如5 μl样品中加入1 μl本制品,混匀后上样电泳。常温保存时,有时会出现沉淀,此时,请在37℃水浴中溶解后使用。
1%琼脂糖凝胶中示踪染料位置表
|
示踪染料
|
凝胶中对应片段位置
|
颜色
|
|
二甲苯菁
|
4000-5000 bp
|
靛蓝
|
|
溴酚蓝
|
300-500 bp
|
蓝色
|
|
红色染料RealRed
|
200-400 bp
|
红色
|
|
橙黄G
|
50-150 bp
|
橙黄
|
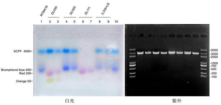
1%琼脂糖凝胶,1×TAE,150 V 25 min,RealSafe Red染色
样本:2.5 kb PCR产物,上样5 μl(90 ng),10 μl(180 ng)
D2000 plus DNA ladder 上样5 μl
RTM416:D2000 plus DNA ladder(100-5000bp)
DL030:6×DNA上样缓冲液(三染料)
DL020:6×DNA上样缓冲液(双染料)
DL111:6×RealRed DNA 上样缓冲液(红色)