您好,欢迎光临中科瑞泰!
登陆
|
注册
免费咨询电话:
400-699-0631
GUS染色
蛋白Marker
DNA Marker
原生质体
非变性电泳
蛋白染色
预制胶
首页
产品中心
技术资料
科研助手
发表文章
申请试用
公司动态
关于我们
新闻详情
DETAIL
当前位置:首页>新闻详情
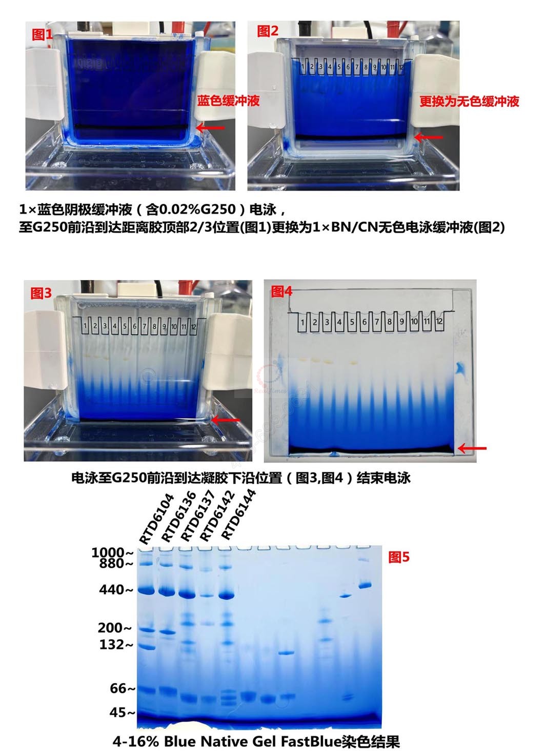
BN电泳图例解释
首页
产品中心
技术资料
科研助手
发表文章
申请试用
公司动态
关于我们
用户中心