SUMO化是一种可逆的翻译后修饰,调控着各种线粒体过程,包括生物合成、动力学、线粒体自噬和线粒体未折叠蛋白反应。尽管已证实SUMO化是由酵母中的线粒体蛋白质输入障碍引发的,但其对哺乳动物线粒体蛋白质输入的影响仍不清楚。
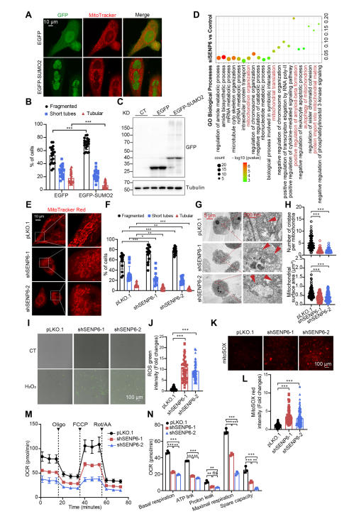
2025年7月29日,暨南大学王文君,暨南大学附属第一医院王昊、周庆华共同通讯在Advanced Science 在线发表题为“SENP6 Maintains Mitochondrial Homeostasis by Regulating Mitochondrial Protein Import Through deSUMOylation of TOM40”的研究论文。该研究阐明了SENP6敲低诱导的SUMO化会导致线粒体蛋白质稳态丧失,从而损害线粒体的形态和功能。
从机制上讲,SENP6敲低通过SUMO化TOM40来抑制TOM复合物的组装,从而阻碍线粒体蛋白质输入过程(包括TOM40前体),最终破坏线粒体稳态。此外,研究还观察到,CCCP 处理导致 3×Tg-阿尔茨海默病 (AD) 小鼠或 Aβ1-42 肽刺激细胞的脑内线粒体中 SENP6 减少,同时 TOM40 SUMO 化增加。总之,这些结果表明 Aβ1-42 的积累可能通过抑制 SENP6 来增强 TOM40 SUMO 化,从而通过蛋白质输入障碍损害线粒体稳态,并可能促进 AD 的病理过程。该研究阐明了在线粒体应激过程中TOM40 SUMO 化/去 SUMO 化调控线粒体输入过程中的作用。
线粒体是具有多种功能重要的细胞器,包括ATP生成、钙调节和代谢平衡。约99%的线粒体蛋白质由核基因编码,合成为胞质前体,并通过专门的机制运输。除了蛋白质转运之外,线粒体蛋白质运输系统还与一个功能网络整合,该网络涵盖线粒体的形态、动力学、生物能量学、功能以及与其他细胞器的相互作用。因此,运输缺陷会破坏线粒体的稳态,导致一系列疾病,包括癌症、心血管疾病和神经退行性疾病。外膜转位酶(TOM)复合物是线粒体前体蛋白在外膜上的通道。通过TOM的转运激活了分选机制,将蛋白质引导至目标区室。作为TOM复合物的中心孔组分,TOM40与其他亚基(TOM5、TOM6、TOM7、TOM20、TOM22和TOM70)相互作用形成复合物,从而促进大多数线粒体蛋白质进入线粒体。全基因组关联研究 (GWAS) 揭示了TOMM40内的单核苷酸多态性 (SNPs) 与线粒体功能障碍以及代谢综合征之间的关联。TOM40功能障碍也与阿尔茨海默病、帕金森病和亨廷顿病等神经退行性疾病有关。多项研究发现,TOMM40 SNPs 与 APOE ε3 和 APOE ε4 基因共同作用,与晚发型阿尔茨海默病 (LOAD) 或相关的内表型相关。此外,有证据表明,TOM40 与阿尔茨海默病 (AD) 海马萎缩、认知能力下降和易感性风险相关,且与 APOE 无关。虽然 LOAD 患者的大脑 TOM40 mRNA 水平升高,但外周血研究报告显示,在 1-2 年的随访中,TOM40 mRNA 水平持续降低,这表明线粒体输入失调是 AD 病理机制的组成部分。
SUMO 化通过共价 SUMO 结合赖氨酸残基来动态修饰蛋白质,由 E1 激活酶、E2 结合酶和 E3 连接酶介导,而去 SUMO 化则由 SENPs 调控。与泛素化介导的降解不同,SUMO化会调节蛋白质的活性、定位和稳定性,从而影响基因表达、基因组完整性、细胞周期、细胞凋亡和免疫功能。最近的研究表明,SUMO化/去SUMO化参与调控线粒体的生物合成、动力学、线粒体自噬和线粒体未折叠蛋白反应(UPRmt)。此外,线粒体蛋白质输入障碍和蛋白质稳态受损会引发酵母中线粒体蛋白质的SUMO化,这表明SUMO化可能也在线粒体蛋白质输入系统中发挥作用。SENP6特异性地裂解polySUMO2/3链,从而调控DNA修复、细胞凋亡、衰老、着丝粒组装、炎症、小胶质细胞极化、血管生成和核结构。其功能障碍与淋巴瘤、核纤层蛋白病和骨骼衰老有关。然而,SENP6 在线粒体稳态中的作用仍未得到深入研究。
该研究旨在探究 SENP6 在调节线粒体功能和稳态中的作用及其潜在的分子机制。研究观察到 SENP6 敲低 (KD) 对线粒体的形态、蛋白稳态和功能产生不利影响。从机制上讲,SENP6 KD 通过对 TOM40 进行 SUMO 化来抑制 TOM 复合物的组装,从而破坏线粒体蛋白质的输入过程,包括 TOM40 前体。此外,该研究注意到 CCCP 处理会导致线粒体中 SENP6 的减少,从而导致TOM40 去 SUMO 化和线粒体功能障碍。此外,我们观察到在 AD 小鼠和Aβ1-42 刺激的 SH-SY5Y 细胞中 SENP6 减少,TOM40 SUMO 化增加。该研究结果表明,Aβ 积累可能通过下调 SENP6 增强 TOM40 的 SUMO 化,导致线粒体蛋白质输入受损并引发线粒体功能障碍,从而可能增强 AD 的病理过程。
文章中BN非变性电泳使用了以下产品:
RTD6139-0416 Blue/Clear非变性PAGE电泳试剂盒(U型板4-16%预制胶,通用型)
