非变性蛋白电泳Marker转膜问题
非变性蛋白电泳Marker转膜问题
1. 所有的预染蛋白Marker都是变性Marker,不适用于非变性电泳。
2. 蛋白非变性电泳条件下,不能精确判断蛋白的分子量大小。因为在非变性条件下,蛋白的电荷,空间结构,物化性质等都对蛋白的迁移有影响。
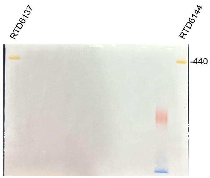
3. 非变性蛋白电泳Marker(RTD6137,RTD6142,RTD6144)由于要保持蛋白的天然结构,都没有偶联染料,在电泳时基本都看不到条带;然而,RTD6137和RTD6144中的440 kD和880 kD由于天然蛋白中含有铁离子,使得电泳后在胶上可见淡黄色,其中440 kD颜色更深。凝胶转膜后,膜上也可以看到黄色的440 kD条带(下图),可以大体判断Marker转膜的效果。

4. 有两种方法可以解决非变性Marker转膜后条带显示问题:
第一种方法:凝胶转膜后用丽春红染色液(货号:RTD6301)染膜,可以看到Marker条带,顺便可以检测转膜效率,然而要注意的是丽春红染色灵敏度比较低,可能不能完全看到完整的Marker条带。


注:北京师范大学惠赠图片
第二种方法(下图):电泳结束后,把含有Marker泳道的凝胶切下,单独用考马斯亮蓝染色液染色(货号:RTD6202),剩余的凝胶去完成转膜到ECL发光检测过程,最后的发光结果和Marker染色结果拼接判断条带范围。
Jurkat 无去垢剂提取TP,GAPDH检测(pI~8.6):
凝胶:RTD6139-0416 BN预制胶
电泳:1×蓝色电泳缓冲液(含0.002% G-250)
稳压150V 45分钟;1×无色电泳缓冲液 稳压150V 46分钟
胶浸泡:1×BN转膜缓冲液(含20%甲醇)+0.1%SDS浸泡10分钟
转膜:1×BN转膜缓冲液(含20%甲醇),稳流200 mA
(电压89-81V) 1.5小时,未冰浴
膜漂洗去蓝色:PVDF膜无水甲醇浸泡10分钟至膜无色
封闭:无蛋白快速封闭,RT,30分钟
一抗:GAPDH抗体,1:5000 RT 一小时
二抗:羊抗兔IgG-HRP 1:5000 RT 1.5小时
ECL:ECL发光,机器拍照,曝光2min